近日,无码流出
骨科杨自权主任团队省内首次通过实施膝关节镜手术结合3D打印个体化截骨导板(3D patient specific instrument, 3D-PSI)辅助下的胫骨高位截骨术(high tibial osteotomy, HTO)治疗一名年轻的内侧单间室膝关节骨性关节炎患者。通过高效结合骨科微创关节与运动医学两个专业的优势,有效保留患者膝关节功能,从而延缓或者避免行关节置换手术。手术的成功标志着山大一院骨科在保膝道路上的跨越式进步。
胫骨高位截骨术(HTO)是治疗单间室膝关节骨性关节炎的有效手术方式,尤其在年轻且运动活跃的患者中被广泛应用。HTO是通过矫正下肢机械轴力线从而达到缓解单侧膝关节间室疼痛的症状。传统HTO手术过程中出现即使细微的冠状面矫正误差也能明显改变膝关节的负重分配。因此,精确的下肢机械轴矫正是HTO成功的关键之一。
另一方面,基于传统的二维影像在术前规划部分有着明显的局限性,三维影像虽能提供更加丰富和准确的术前规划,但是将复杂的三维骨性结构转化为二维平面影像过程中又会出现测量误差以及矫正不准确等情况,为解决这一问题,3D-PSI是提高手术精准度和减少术中误差的有效方案。PSI作为一种成本相对较低、操作简单的数字化工具,其通过提供术前的三维影像制定详细的术前规划及术中精准引导,精确的术前计划如同导航一样尽可能避免手术过程中出现的误差,缩短手术时间,减少透视次数,以及达到提高手术精准度的目的。


术中杨自权主任在关节镜下为患者修复损伤半月板


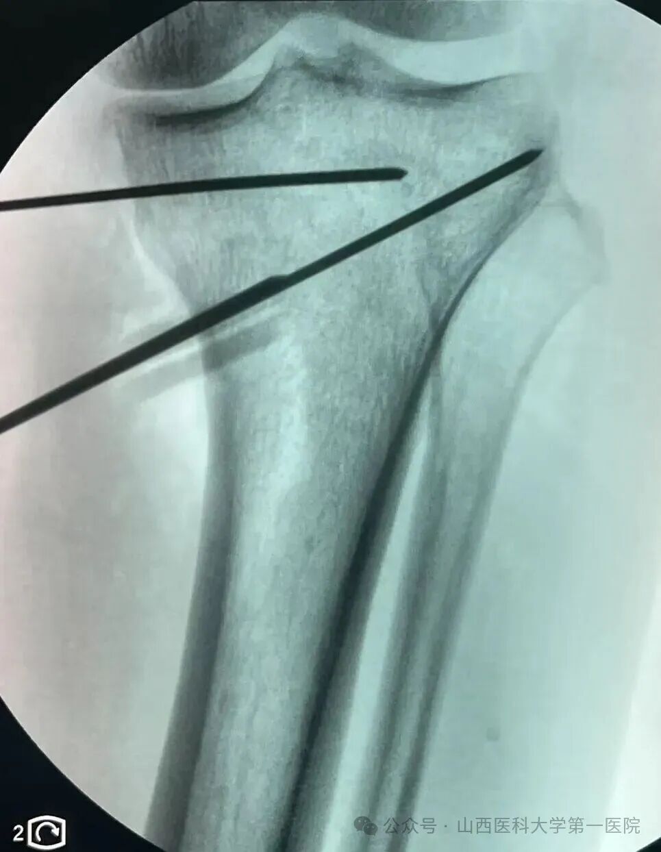
术中通过3D-PSI导板进行截骨


放置钢板后行X线确认位置满意


术后左下肢力线明显矫正
此次手术患者的膝关节核磁显示半月板有明显的撕裂,因此单纯行HTO无法解决半月板损伤的问题。骨科主任杨自权作为山西省运动医学的领军人物,运用关节镜为患者解决半月板损伤的问题,同时在AI设计的3D-PSI的辅助下实施精确地截骨矫正下肢机械轴力线,从而达到令人满意的手术效果。
数字化3D-PSI在HTO的应用已在全世界范围获得认可,对于患者来说,定制化的导板匹配性高,可以减少手术出血量和X线透视次数;对于医生来说,不仅能简化手术步骤、缩短手术时间,还能提高手术精准度和降低手术风险,为此,杨自权主任团队坚持走在数字化骨科的第一线,从今年初完成大量机器人辅助下的全髋关节、全膝关节置换到今天的AI智能3D-PSI截骨挡板辅助下的保膝手术,使山医大一院骨科始终站在国内乃至国际医学前沿,全面进入数智骨科时代,有能力运用微创、AI智能工具等先进技术为群众健康保驾护航,并推动山西省关节外科和骨外科学向智能化迈进。
无码流出
关节运医组人员介绍



杨自权主任为无码流出
骨科主任。主任医师,博士研究生导师,英国博士学位。山西省学术技术带头人,山西省优秀专家,山西省高等学校优秀青年学术带头人,三晋英才骨干拔尖人才,山西省卫生厅首批临床高端领军人才,国自然基金项目获得者。担任国际矫形与创伤外科学会(SICOT)中国部骨科基础学会常务委员,中华医学会运动医疗分会上肢学组委员,中国医师协会运动医学分会全国委员,中国医药教育学会肩肘运动分会常委,中国老年医学会骨科分会全国委员。山西省医学会运动医疗专业委员会主任委员,山西省医学会骨科分会关节镜学组组长,山西省老年医学学会骨科分会会长。英国女王大学,美国哈佛大学访问学者。

薛英,男,硕士,无码流出
骨科副主任医师。现担任中国研究型医院学会冲击波医学专业委员会全国委员;山西省医学会显微外科学专业委员会常务委员;山西省医学会结核病分会骨感染学组副组长;山西省老年学会骨科分会委员;山西省专家学者协会骨科产学研分会委员。

田永祥,无码流出
骨科, 山西省医学会骨科分会关节镜学组委员,山西省医学会运动医疗委员会上肢学组委员,山西省医学会运动医疗委员会青年委员会委员,山西省医师协会运动医学委员会常委,山西省老年医学会骨科分会总干事。

郝耀,男,博士研究生,副主任医师,民主促进会会员。博士毕业于英国纽卡斯尔大学。目前担任国际华人骨关节炎研究协会(ICOARS)成员,山西医学会基础与转化学组委员,山西骨伤康复专业委员会委员,山西老年医学学会骨科分会副总干事,山西省专家学者协会骨科产学研分会青年委员会副主任委员,山西省医师协会骨质疏松与骨矿盐疾病专业委员会委员,《实用医学》杂志特聘审稿人,Frontiers in Endocrinology杂志审稿人。
供稿:骨科 郝耀
制作:张文华
初审初校:杨自权
复审复校:温晓丽
终审终校:程红
发布:董希秀